因双眼视网膜血管破裂而导致的视力下降,得到了医治。
New Update
看不清的左眼变得明亮清晰了。
原本飙升至240的高血压,得到了医治。
韧带断裂引起的肩膀和腰部疼痛,以及失眠症
架上七言(2) 我实在告诉你:今日你要同
右手大拇指的扳机指综合症得到了医治。
食管癌、心脏病、髋关节......神都医
30年来听不见的右耳,现在能听见了。
原本萎缩、缺失的双侧鼓膜正在重新生成。
架上七言 1. 父啊,赦免他们!因为他们
六年前,由于事业上的巨大压力,我曾一度消沉,甚至萌生了轻生的念头, 这导致了双眼视网膜血管破裂。 大约五年半前,我在一家大型医院接受了四次手术,每只眼睛各做了两次。 但此后视力下降到0.3,甚至连驾驶执照的体检都未能通过。 ...
如今依旧彰显不断的圣经中神的权能作工
万民消息
第 370 号
16032
2016. 04. 10
“愿耶和华赐福给你,保护你。愿耶和华使他的脸光照你,赐恩给你。愿耶和华向你仰脸,赐你平安。”(民数记6章24至26节)神愿赐上好福份给所爱的儿女们。分享经历神非常奇妙权能的部分海内外圣徒见证,将荣耀归给永生神!
“凭信行握手礼,左半身偏瘫蒙神医治!”
约翰·爱德华·玛穆宋圣徒(66岁,印度尼西亚)
2013年1月,一天早晨起来,我突然感觉左臂不听使唤,进而左腿也不能动了。经医院诊断,我患的是中风引起的左半身偏瘫。住院三周,出院后继续服药、接受物理治疗,但左臂左腿仍然不能随意活动,走路极不自然。上下坡路或上下楼梯时,总是气喘吁吁。
2015年8月,我和妻子赴韩看望嫁到韩国的女儿。得到出席万民教会的女儿和女婿引导,参加了夏季修炼会,意外经历妻子乳腺肌瘤手术后遗症导致的疼痛得到医治的神奇现象。借此,我也渴慕靠神凭信得到医治。
2016年1月,我们夫妻再次来到韩国,得知在山上祷告的堂会长李载禄牧师将下山会见圣徒的喜讯。为此我参加万民祷告院恩膏特会,为凭信得医治恳切祷告一周。
2月7日,听了堂会长“谨守遵行经言神训,即可免遭贫穷、疾病、灾殃,得享平安幸福生活”的良训,蒙了许多恩典。接受了为全体圣徒做的祷告,与堂会长握手致谢后,神奇的事发生了,我的左臂左腿都可以自由活动了!
将荣耀归于施恩医治的神,同时向为我祷告的堂会长李载禄牧师深表感谢。哈利路亚!
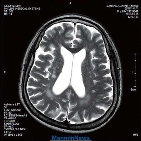
核磁共振成像(MRI)结果:除了老化现象不见脑梗塞症状。
“凭靠手帕祷告,听不清的双耳恢复正常!”
中岛千惠江执事(71岁,日本饭田万民教会)
2015年11月,我的双耳出现疼痛、流脓、听不清等症状。到医院确诊是中耳炎。接受消炎治疗,按方吃药,但仍是听不清声音,给日常生活带来诸多不便。尤其是礼拜时证道信息听不完整,实在让我郁闷着急。
我开始省查这些疾病临身的原因,当我做早餐禁食,祷告求问时,想起和女儿不睦,对父母不敬不孝的昔日过犯。为此我懊悔切求,并两次接受刘胜吉牧师用手帕(使徒行传19章11、12节)做的祷告。从那以后我的双耳听力渐渐好转。
2月27日,在教会创立二十二周年之际,我接受了来访我们教会的万民全体支教会总指导教师李禧善牧师手帕祷告。接受祷告的那一刻,我感觉有异物瞬间从耳中出去后,双耳就可以听清了。
整个世界都焕然一新的感受令我万分激动。哈利路亚!感谢医治我的恩主!
“登录教会后‘慢性抽动障碍’得到医治!”
帕特里克·棱约圣徒(48岁,比利时埃诺万民教会)
我刚出生就患有“抽动障碍”。严重时抖肩晃脑,症状隔几秒出现一次。
小时候症状严重时,就被绑在床上过夜。经医院诊治,接受药物治疗也无济于事。到了上小学的年龄,连药也停了。之后的四十多年一直都束手无策,甚至常有“不想活了”的念头,背着“抽动障碍”这包袱痛苦度日。使得我在人前缺乏自信,心不平安。
2014年2月,遇到路旁传道的弟兄姊妹,接受福音出席埃诺万民教会。信仰过程中渐渐了解神道,听闻目睹凭信各种疾病得到医治的神迹,我也萌生了靠神医治的信心。为此我殷勤听道,自我省察,参加但以理彻夜祷告会恳切祷告祈求。醒悟到自己对家人抱怨怀恨的情绪后,向神彻底认罪懊悔。
2月14日,我满怀渴慕参加教会举行的手帕聚会。当我接受卢玄淑传道师用手帕(使徒行传19章11、12节)祷告时,汗流不止全身湿透,从那时起抖肩晃脑的症状再也没有出现。生来就折磨我的慢性“抽动障碍”蒙神得了医治。哈利路亚!
■ 权能的手帕
使徒行传19章11、12节记载权能作工中“非常的奇事”,如今依然在全世界各地彰显不断。万民的主仆和众工人用堂会长李载禄牧师祷告过的权能手帕为病人按手祷告时,各类疾病得到医治,残疾得到痊愈,心愿蒙允等,尽显圣经真实之确据,将荣耀归于神!
“如鹿切慕溪水,赴韩寻见最符合圣经的教会!”
朴英兰牧师(50岁,万民中央教会 1大大3教区)
大学时期,曾火热经历神,祷告中领受宣教的异象,漂洋过海到美国,在伯克利联合神学院读完牧会学硕士课程,2008年在美国超教派教团按立牧师,作为教育牧师作工七年。
我的工作地旧金山是嬉皮文化的原发地,教会遭人本主义和宗教多元主义侵袭而陷入信仰危机。那里是属灵争战异常激烈的地方,甚至另设男女同性恋聚集区。正因如此我感受到灵里的急迫与干渴。
圣经明明记载无数奇事和神迹,满是圣灵的大能和权能,“为什么像我这样生活在现代社会的多数牧会者身上,没有显现圣经所说的信者身上随着的各种神迹?”伴着这样的疑问,我感觉自己活在属灵黑暗期。
一次偶然的机会,我听到李载禄牧师的证道信息,久违的感动使我流泪懊悔,灵里感受到涤净陈年污垢一样的舒爽。从2013年12月开始,我利用因特网每天听一篇李载禄牧师的证道,每每自省悔罪,得尝圣经诸多疑难经句豁然蒙解带来的喜乐。
观看三百万人次云集的“2002特邀李载禄牧师印度联合大盛会”视频资料,被如今这时代依然大得彰显的圣灵作工震惊不已。
听到李载禄牧师在证道时见证为了神所托付的群羊不致落入地狱,多半在废寝忘食流泪祷告中度日,我更是自问身为牧师爱灵魂不够,在神前认罪痛悔。
经此过程,爱神、爱灵魂之心逐渐变得深切,原本茫然的新耶路撒冷盼望渐渐变得具体而明确。
而且宣教事工的方向也摆脱了人本主义教会模式,领悟到牧会者以身作则成就圣洁时,才能得着圣灵的能力,以符合圣经教导的方式见证传扬耶稣基督。
觉悟圣洁重要性的我,2015年2月趁安息年,毅然决然和丈夫(图,庆大贤宣教士)一起回到韩国。在万民中央教会亲睹经历无数奇妙惊人的权能作工,以神道和祷告恢复灵性,正在努力预备合神所用的器皿。
感谢我主引领切慕生命之道、渴求属灵导师的我的灵魂,来到敬虔的实意和圣灵的权能满得彰显的万民中央教会。将所有荣耀都归给三一真神!
“危及生命的腰肌脓疡得医治!”
韩忠宪执事(37岁,万民中央教会 1大大1教区)
2015年1月左右,因运动时疼痛反复,就到医院做了检查。经核磁共振成像(MRI)诊断,结果在腰椎部位发现炎症,椎骨和腰肌出现异常。
我打小信主,目睹无数通过堂会长李载禄牧师彰显的医治作工,而且我自己也曾经历骨折错位的右脚腕骨接受祷告后归位的权能,所以毫无担心,认为这次也能很快就会得愈。
然而情况并未如我所盼,随着天数加增,身上开始出现异常现象。约从四月份起体重剧降,伴着睡眠障碍,脸色变得蜡黄,腰痛加重,出现腹胀、腹痛症状。
2015年11月25日,经医院诊断,我患的是“腰肌脓肿”。医生说难以计量的脓疡满了我腹部两侧,脓疡导致腰椎损伤,脊椎周边的腰肌熔化。若不及时抽除脓疡,一旦脓疡包破裂,就会引发腹膜炎。由于脓疡的量太多,会随时危及生命。
听了医生一番话,我不仅没有惧怕,反而萌生感恩,借机省察自己的信仰。先是抽除右侧的脓疡,一天少则抽一百毫升,多则五百毫升,八天时间共抽掉一千八百毫升的脓疡。三日后再次拍片显示右侧脓疡几乎抽净,但左侧的脓疡却仍在。医生嘱咐过两天再来抽除余下的脓疡。
11月29日(主日),藉着听道我感悟切愿我恢复信仰的父神那温暖的爱,对作为工人忠于使命的过程中热忱消减、易变的信仰态度流泪懊悔,并接受万民祷告院李福临院长的手帕祷告(使徒行传19章11、12节)。
第二天,为了抽左侧脓疡,我如约到医院接受治疗,但与右侧不同,左侧已经没有脓疡可抽了。
主治医生怀疑治疗过程出现问题,就让我在12月3日重新拍X光和CT。确认拍片结果后,医生面露不解地说:“脓肿哪儿去了?”原来经权能手帕祷告,腰肌脓肿完全消失了。自那以后我的身体迅速得到康复,体重恢复正常,如今非常健康。哈利路亚!能够在这宝贵的祭坛得过信仰生活,是我莫大的福份。将所有感谢与荣耀都归于相信并期待我改变,恒久忍耐等候,并治愈我身上疾病的慈爱三一真神!
接受祷告前:两侧腰肌内形成直径六至七厘米的脓肿。
接受祷告后:两侧腰肌内直径六至七厘米的脓肿消失。
国内外新闻
爱与权能的现场——“2023
[专栏特辑] 儿童主日学“2
[特辑] 赞美与爱的馨香,充
麦收感恩主日礼拜及圣餐礼
耶稣教联合圣洁会召开第三十三
万民焦点
架上七言(2) 我实在告诉你
两手两脚被钉流血的耶稣
耶稣外衣遭撕分、里衣被拈阄的
特殊恩典
[专栏特辑] 人心的构成 真
信仰论坛
因双眼视网膜血管破裂而导致的
看不清的左眼变得明亮清晰了。
原本飙升至240的高血压,得
韧带断裂引起的肩膀和腰部疼痛
右手大拇指的扳机指综合症得到
爱与权能的现场——“2023夏季修炼会”十五种语言同步传译,国内外圣徒通过GCN
[08.27]
[专栏特辑] 儿童主日学“2023夏
[08.27]
[特辑] 赞美与爱的馨香,充满热情的
[07.23]
麦收感恩主日礼拜及圣餐礼
[07.23]
耶稣教联合圣洁会召开第三十三届定期总
[07.09]
图片新闻 - 2023儿童、学生主日
架上七言(2) 我实在告诉你:今日你要同我在乐园里了
[06.29]
两手两脚被钉流血的耶稣
[05.18]
耶稣外衣遭撕分、里衣被拈阄的原由(3
[07.23]
特殊恩典
[07.23]
[专栏特辑] 人心的构成 真理的心、
[06.25]
合力实现的幸福
因双眼视网膜血管破裂而导致的视力下降,得到了医治。
[10.26]
看不清的左眼变得明亮清晰了。
[10.26]
原本飙升至240的高血压,得到了医治
[10.26]
韧带断裂引起的肩膀和腰部疼痛,以及失
[09.28]
右手大拇指的扳机指综合症得到了医治。
[09.28]
食管癌、心脏病、髋关节......神
新闻热搜词
2012圣诞前夕庆演及圣诞欢庆礼拜
专栏特辑 - 除净杂念提高注意力的方法
“你的话是我脚前的灯,是我路上的光。”-
“忧郁症和诸多疾病蒙神医治,身心轻盈如燕
更新巴基斯坦和斯里兰卡的圣灵之风 - 特
最热门的新闻
“神就是爱”系列(十一)信心若没有行
信就是所望之事的实底,是未见之事的确
[专栏特辑] 属乎神的权能之显据
爱与权能的现场——“2023夏季修炼
自闭症得医治 - “侄子的自闭症治好