Manmin News, Manmin, Manmin Central Church, drLee, jae-rock Lee
 
 

I Received Healing from Retinal Vessel Rupture in Both Eyes
New Update
Six years ago, due to severe stress from business, I even thought about death. As a result, the blood vessels in both of my retinas ruptured. About five and a half years ago, I underwent four surgeries?two in each eye?at a large hospital, but afterward my eyesight dropped to about 20/80. I could not even pass the driver’s license fitness test. ...
       
 
  
 

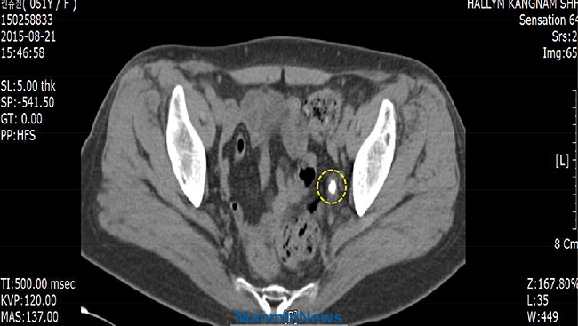
"The Urinary Stone, 1.3cm in Size Disappeared!"

Manmin News   No. 501
13080
July 24, 2016




Deaconess Sujin Yim, age 53, Chinese Parish


In August 2015, I had severe back pain. Even when I went to bed, I would get up within an hour because it was so painful. I had so much pain when I urinated and it was really hard even to urinate.

I was diagnosed with having a urinary stone. My doctor said that it was so big that it couldn't be removed with the laser treatment and told me to have surgery. However, I made up my mind to be healed by God.

In 2009, I began attending Manmin Central Church. After I learned about the will of God in keeping the whole Sabbath and giving the tithe through Senior Pastor Dr. Jaerock Lee's sermons, I obeyed it. Then, I was healed of a herniated lumbar disc and pains all over the body. So, I wanted the urinary stone to be removed by the power of God.

In October 2015, I received Dr. Lee's prayer when he came back from his mountain prayer for the church's 33rd anniversary service. After the prayer, I listened to his sermons every day and came to repent that I had not circumcised my heart. I used to get angry and insist on my opinion. I realized I did not act upon the Word of God although I learned about it and knew it. I thoroughly repented. In the meantime, the pain disappeared. On October 23, I went to hospital and I could see that there was no urinary stone. Hallelujah!

I had suffered from the pain caused by a urinary stone which was 1.3cm in size. I was told that it would be hard to be removed without a surgery because of its size. But it vanished through the power of God. I give all thanks and glory to the living God who showed this amazing work to me.


Before the prayer_ The urinary stone, 1.3cm in size in left ureter


After the prayer_ The stone is not seen


 

 

 
Issue
   

 
Most Read
   

 


Manmin News, Manmin, Manmin Church, Manmin Central Church, Jaerock Lee, Jaerock, drLee