Du 25 au 26 Mai, la 9ème conférence Médicale Chrétienne Internationale s’est tenue au Kenya, organisée par le WCDN (Réseau Mondial de Médecins Chrétiens) sous le thème «Spiritualité et Médecine.» Près de 400 médecins de 37 nations ont participé. Il y a eu des présentations de cas de guérison divine et des enseignements spéciaux sur une variété de thèmes tels que «La Foi et le Traitement Médical.» Parmi elles, deux présentations sont introduites ci-après.

Cas présenté par le Dr. Chang Kyu Yang Médecin, Radiologue
«Le Cancer du Sein a été Guéri sans Traitement Médical, ce qui est Etonnant»
J’ai fait des présentations de cas de disque lombaire, de tendinite et d’inflammation de calcification et d’abcès thoracique lors des 1ère, 2ème et 6ème Conférences Médicales Chrétiennes Internationales. Les cas ont une chose en commun. Les patients ne se sont pas reposés sur la médecine, mais ont reçu leur guérison avec foi en Dieu et par la prière puissante. Dans le cas que j’ai présenté lors de cette conférence, le patient a été guéri du cancer sans traitement médical.
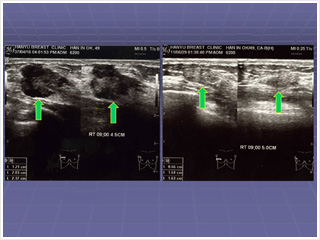
La Diaconesse Inok Han avait une masse palpable dans le sein droit lors de l’hiver 2006. On a diagnostiqué un cancer du sein par biopsie en Avril 2007 et le résultat a montré qu’elle avait un carcinome canalaire invasif de 2 ,17 cm. Le médecin a recommandé une opération, mais elle voulait être guérie seulement par la foi. Et ainsi elle n’a reçu aucun traitement médical, ni subi aucune opération. Comme le temps passait, elle souffrait de sévères douleurs dans le sein droit et de douleurs lancinantes dans le bras droit. En écoutant la parole de Dieu chaque semaine, elle a réalisé que ses péchés étaient graves et elle s’est fermement repentie de ses péchés d’arrogance, de haine, de ressentiment, de sentiments de malaise, de blâmer les autres et d’adorer des idoles. Elle a essayé fortement d’atteindre le cœur de bonté que Dieu voulait comme cela est relaté dans la Bible. En 2009, elle a prié avec une plus grande foi après avoir entendu du Dr. Jaerock Lee en rêve que la lumière de la puissance est venue en elle.
Le 10 Juin 2011, à la réunion spéciale de guérisons divines, elle a reçu la prière du Dr. Jaerock Lee. La masse palpable dans le sein gauche s’est réduite petit à petit. Elle ne ressentait plus de douleurs dans le sein droit et le bras droit. Le 29 Juin 2011, elle a été réexaminée dans le même hôpital. Son cancer du sein avait entièrement disparu. Mais un nodule homogène de petite taille a été détecté dans le diagnostic.
Pour faire cette présentation à la conférence, je lui ai demandé d’avoir un diagnostic adéquat. Elle donc subi une biopsie et le résultat a montré qu’il n’y avait aucune cellule cancéreuse et qu’elle avait des fibroses qu’a une femme ordinaire en bonne santé. J’ai pu voir que le cancer du sein était entièrement guéri.
Le Dr. Zipporah Ngumi, présidente du Comité d’Organisation a dit après la présentation du cas, «Il était plus merveilleux de voir le matériel radiologique correct et la biopsie avant et après la guérison, présentés par le radiologiste.» La présentation a été bien reçue par de nombreux médecins parce qu’ils n’avaient jamais vu de cancer du sein guéri sans traitement médical et ils n’avaient même jamais lu de dissertation sur le sujet.

1. La Diaconesse Inok Han qui a été guérie de cancer du sein. 2. Un nodule de 2cm a disparu 3. Ultrasonographie: un nodule homogène de la taille de 2,17cm a disparu
Présentateur du cas, le Dr. Joon Sung Kim Département de Médecine de l’Université d’Ulsan, Corée
«J’étais Heureux de Donner une Présentation sur l’Amélioration d’une Acuité Visuelle par la Guérison Divine»
Les déficiences visuelles comprennent la cécité médicale et une sévère perte d’acuité visuelle telle que 0,3 degrés avec l’œil nu. À cause de cela, d’innombrables personnes ont souffert de difficultés et de douleurs économiquement et mentalement. Un rapport de l’OMS (Organisation Mondiale de la Santé) qui a été révélé en 2012 dit que 281 millions de personnes ont souffert de déficiences visuelles et que les principales causes sont la myopie, la presbytie, l’astigmatisme ou les troubles dans la force de réfraction.
Pour l’analyse statistique, 38 rapports ou certificats médicaux ont été choisis et examinés sur leur acuité visuelle avant et après la prière. Les chiffres ont montré qu’une amélioration significative ou une restauration de la vision ont été atteintes uniquement par la puissance de Dieu.
Le Diacre Joongwook Ham (homme âgé de 32 ans) était atteint de myopie et portait des lunettes pendant les 16 dernières années. Avant la Réunion Spéciale de Guérisons Divines, il s’est repenti profondément de ses anciens péchés. Il a reçu la prière d’intercession du Révérend Dr. Jaerock Lee le 10 Juin 2011. Alors il a de nouveau fait examiner sa vision à l’hôpital. Il a récupéré une bonne vision de 0,3 à 0,5 pour son œil droit et de 0,9 à 1,0 pour son œil gauche.
La Diaconesse Bokhee Kim (femme âgée de 46 ans) souffrait de myopie et portait des lunettes depuis plus de 15 ans. Elle avait souvent des difficultés de voir des objets à distance. Mais elle a reçu la prière du Dr. Lee le 17 Juin 2011. Elle a ressenti une sensation extraordinairement chaude dans ses yeux en recevant la prière et ensuite elle a clairement pu voir les objets. Elle a fait tester à nouveau son acuité visuelle et cela a démontré qu’elle avait une vision améliorée de 0,4/0,2 à 0,8/0,8.
Malgré que la technologie médicale se soit améliorée récemment, les déficiences visuelles sont difficiles à soigner même par la chirurgie ou un traitement médical. C’était donc étrange de voir les cas de guérisons divines où les gens récupéraient leur vision par la puissance de Dieu. J’étais très heureux de réunir tous ces cas et d’en donner la présentation en tant que médecin. Je donne toute reconnaissance et gloire à Dieu.

1. Diacre Jongwook Ham (au-dessus) 2. Diaconesse Bokhee Kim (en bas)
|