2025³â 12¿ù 16ÀÏ È¿äÀÏ
¿ÀÈÄ 9:04
"¼Õ¸ñ»À °ñÀýÀ» ¼ö¼ú ¾øÀÌ Ä¡·á¹Þ¾Ò½À´Ï´Ù"
Ãֽо÷µ¥ÀÌÆ®
¡°Ãµ½Ä.¾ËÄÚ¿Ã Áßµ¶.Á¶Çöº´.¿ì¿ïÁõ.°øÈ²Àå¾Ö¸¦ Ä¡
"´ç´¢¹ß Àý´Ü À§±â¿¡¼ Ä¡·á¹Þ¾Æ »õ»ìÀÌ µ¸¾Æ³ª°í
°©ÀÛ½º·± ´ç´¢ Áø´Ü, 3°³¿ù ¸¸¿¡ Ä¡·á¹Þ¾Ò½À´Ï´Ù
27³â µÈ ³Ä¡º´ º£Ã¼Æ®º´À» Ä¡·á¹Þ¾Ò½À´Ï´Ù.
²÷¾îÁø ¾î±úÀδ븦 ¿ÏÄ¡¹Þ°í, ÇöÀåÀÏÀ» ´Ù½Ã Çϰí
¾çÂÊ ´« ¸Á¸· Ç÷°ü ÆÄ¿·Î ÀÎÇÑ ½Ã·ÂÀúÇϸ¦ Ä¡·á
Àß º¸ÀÌÁö ¾Ê´ø ¿ÞÂÊ ´«ÀÌ ¹à¾ÆÁ³½À´Ï´Ù
240±îÁö Ä¡¼Ú´ø °íÇ÷¾ÐÀ» Ä¡·á¹Þ¾Ò½À´Ï´Ù
ÀÎ´ë ÆÄ¿·Î ÀÎÇÑ ¾î±ú.Ç㸮 ÅëÁõ, ºÒ¸éÁõ±îÁö
¿ÃÇØ 7¿ù 19ÀÏ, ºñ ¿À´Â ³¯ ³Ñ¾îÁö¸é¼ ¿À¸¥¼ÕÀÌ µÚ·Î ²ªÀÌ°í °è´Ü¿¡ ¼Õ¸ñÀÌ ¼¼°Ô ºÎµúÃÆ½À´Ï´Ù. ÀϾ ¼ÕÀ» ¿òÁ÷¿©º¸·Á ÇßÁö¸¸ ÀüÇô ¿òÁ÷¿©ÁöÁö ¾Ê¾Ò°í, ±× ¼ø°£ '¿Ã °ÍÀÌ ¿Ô±¸³ª' ÇÏ´Â »ý°¢ÀÌ µé¾ú½À´Ï´Ù. Æò¼Ò ±âµµ¸¦ ¼ÒȦÈ÷ ÇÏ°í µå¶ó¸¶¸¦ º¸¸ç ½Ã°£À» º¸³Â´ø Á¦ ¸ð½ÀÀÌ ÁÖ¸¶µîó·³ ½ºÃÄ °¬½À´Ï´Ù. ...
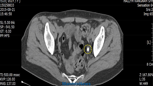
"1.3 cm ¿ä·Î°á¼®ÀÌ »ç¶óÁ® ³¯¾Æ°¥ °Í¸¸ °°½À´Ï´Ù!"
¸¸¹Î´º½º Á¦747È£
14339
2016³â 7¿ù 17ÀÏ ÀÏ¿äÀÏ
ÀÓ¼öÁø Áý»ç (53¼¼, Áß±¹ 2±³±¸)
2015³â 8¿ù, Ç㸮 ºÎÀ§¿¡ ½ÉÇÑ ÅëÁõÀÌ ´À²¸Á³°í µî µÚÂʵµ ¾ÆÆÍ½À´Ï´Ù. ÀáÀÚ¸®¿¡ ´©¿öµµ ÅëÁõ ¶§¹®¿¡ ÇÑ ½Ã°£ÀÌ Ã¤ ¸ø µÅ¼ ÀϾ¾ß¸¸ ÇßÁö¿ä. ¼Òº¯À» º¼ ¶§´Â °íÅëÀÌ ³Ê¹« ½ÉÇß°í Àß ³ª¿ÀÁöµµ ¾Ê¾Ò½À´Ï´Ù.
º´¿ø °Ë»ç °á°ú, ¿ä·Î°á¼®À̾ú½À´Ï´Ù. ÀÇ»ç´Â °á¼®ÀÇ Å©±â°¡ ³Ê¹« Ä¿¼ ·¹ÀÌÀú·Î Á¦°ÅÇÒ ¼ö ¾ø´Ù¸ç ÀÔ¿øÇÏ¿© ¼ö¼úÀ» ¹ÞÀ¸¶ó°í ¸»Çß½À´Ï´Ù. ±×·¯³ª Àú´Â Çϳª´Ô ¹æ¹ýÀ¸·Î ¿ä·Î°á¼®À» Ä¡·á¹Þ¾Æ¾ß°Ú´Ù°í ¸¶À½¸Ô¾úÁö¿ä.
Àú´Â 2009³â¿¡ ¿ì¸® ±³È¸¿¡¼ ½Å¾Ó»ýȰÀ» ½ÃÀÛÇÑ µÚ, ´çȸÀå ÀÌÀç·Ï ¸ñ»ç´ÔÀÇ ¼³±³¸¦ ÅëÇØ Çϳª´Ô ¶æÀ» ¾Ë°í ¿ÂÀüÇÑ ÁÖÀϼº¼ö¿Í ½ÊÀÏÁ¶¸¦ ÇÏÀÚ Ç㸮µð½ºÅ©¸¦ ºñ·ÔÇÑ ¿Â¸ö ÅëÁõÀ» ±ú²ýÀÌ Ä¡·á¹ÞÀº üÇèÀÌ Àֱ⠶§¹®ÀÔ´Ï´Ù.
2015³â 10¿ù ÃÊ, ¸¶Ä§ ±³È¸ ⸳ 33ÁÖ³âÀ» ¸Â¾Æ »ê»ó±âµµ Áß¿¡ ³»·Á¿À½Å ´çȸÀå ÀÌÀç·Ï ¸ñ»ç´Ô²² ¹ÏÀ½À¸·Î ±âµµ¸¦ ¹Þ¾Ò½À´Ï´Ù. ÀÌÈÄ ¸ÅÀÏ ´çȸÀå´Ô ¼³±³¸¦ µè´ø Áß ¸¶À½¿¡ ÇÒ·ÊÇÏÁö ¸øÇϰí Ç÷±â¸¦ ³»¸ç ÁÖº¯ »ç¶÷µé¿¡°Ô ³ª¸¦ ÁÖÀåÇϰí, ¸»¾¸À» ¾Ë¸é¼µµ ÇàÇÔÀÌ ³Ê¹« ºÎÁ·Çß´Ù´Â »ç½ÇÀ» ±ú´Ý°í ¸¹Àº ȸ°³¸¦ ÇÏ¿´Áö¿ä. ±×·¯´ø Áß, ÅëÁõÀÌ »ç¶óÁ® 10¿ù 23ÀÏ º´¿ø¿¡ °¡¼ °Ë»çÇØ º¸´Ï °á¼®ÀÌ º¸ÀÌÁö ¾Ê´Â °ÍÀÔ´Ï´Ù. ÇÒ·¼·ç¾ß!
¼ö¼ú ¾øÀÌ´Â Á¦°Å°¡ ¾î·Æ´Ù´ø 1.3 cm³ª µÇ´Â ¿ä·Î°á¼®ÀÌ ¾Æ¹«·± ÀÇÇÐÀû Ä¡·á ¾øÀÌ ¿ÀÁ÷ Çϳª´Ô ±Ç´ÉÀ¸·Î Ä¡·áµÈ °ÍÀÔ´Ï´Ù. ÀÌ·¯ÇÑ ³î¶ó¿î ¿ª»ç¸¦ º£Ç®¾î ÁֽŠ»ì¾Æ °è½Å Çϳª´Ô²² ¸ðµç °¨»ç¿Í ¿µ±¤À» µ¹¸³´Ï´Ù.
±âµµ¹Þ±â Àü_ÁÂÃø ¿ä°ü¿¡ 1.3 cm Å©±âÀÇ °á¼®ÀÌ º¸À̰í ÀÖ´Ù.
±âµµ¹ÞÀº ÈÄ_ÁÂÃø¿¡ º¸¿´´ø 1.3 cm Å©±âÀÇ °á¼®ÀÌ »ç¶óÁ® º¸ÀÌÁö ¾Ê°í ÀÖ´Ù.
´º½º
Å©°Ô ¿ôÀ¸½Ç ³¯À» ±â´Ù¸®³ªÀÌ´Ù
"Çϳª´Ô²²¼ ±â»µÇϽô ÀÇÀÎÀÇ
"Çϴÿ¡´Â ¿µ±¤, ¶¥¿¡´Â ±â»Ý
[±âȹƯÁý] ±â»Ý°ú ÇູÀÌ °¡
2023 ¼ºÅº Á¡µî½Ä "¿ì¸®¸¦
±âȹ.ƯÁý
°¡»óÄ¥¾ð(4) ¿¤¸® ¿¤¸® ¶ó¸¶ »ç¹Ú´Ù´Ï
°¡»óÄ¥¾ð(3) ¿©ÀÚ¿© º¸¼Ò¼
°¡»óÄ¥¾ð 2. ³»°¡ Áø½Ç·Î ³×
°¡»óÄ¥¾ð 1. ¾Æ¹öÁö¿© ÀúÈñ¸¦
¿¹¼ö´Ô²²¼ ¿·±¸¸®¸¦ âÀ¸·Î Âñ
»ý¸íÀÇ ¸»¾¸
¼ºÅºÀýÀÇ ÂüµÈ Àǹ̸¦ Á¤È®È÷ ¾Æ½Ê´Ï±î?
Àηù¸¦ ±¸¿øÇÒ Á¶°Ç¿¡ ÇÕ´çÇÑ
ÀÇÀÎÀº ¹ÏÀ½À¸·Î »ì¸®¶ó
Âü¸¶À½°ú ¿ÂÀüÇÑ ¹ÏÀ½
¿¹¼ö ±×¸®½ºµµ
[01.28] Å©°Ô ¿ôÀ¸½Ç ³¯À» ±â´Ù¸®³ªÀÌ´Ù
[01.14]
"Çϳª´Ô²²¼ ±â»µÇϽô ÀÇÀÎÀÇ ¹ÏÀ½À¸
[12.31]
"Çϴÿ¡´Â ¿µ±¤, ¶¥¿¡´Â ±â»Ý°ú ÆòÈ
[12.31]
[±âȹƯÁý] ±â»Ý°ú ÇູÀÌ °¡µæÇß´ø
[12.17]
2023 ¼ºÅº Á¡µî½Ä "¿ì¸®¸¦ À§ÇØ
[12.03]
ÄÉ³Ä ³ªÀ̷κñ¸¸¹Î±³È¸ ⸳ 23ÁÖ³â
[11.30] °¡»óÄ¥¾ð(4) ¿¤¸® ¿¤¸® ¶ó¸¶ »ç¹Ú´Ù´Ï
[11.02]
°¡»óÄ¥¾ð(3) ¿©ÀÚ¿© º¸¼Ò¼ ¾ÆµéÀÌ´Ï
[10.15]
°¡»óÄ¥¾ð 2. ³»°¡ Áø½Ç·Î ³×°Ô À̸£
[09.19]
°¡»óÄ¥¾ð 1. ¾Æ¹öÁö¿© ÀúÈñ¸¦ »çÇÏ¿©
[08.03]
¿¹¼ö´Ô²²¼ ¿·±¸¸®¸¦ âÀ¸·Î Âñ·Á ¹°°ú
[07.06]
´Ù¸®¸¦ ²ªÀÌÁö ¾Ê°í âÀ¸·Î ¿·±¸¸®¸¦
[11.30] "¼Õ¸ñ»À °ñÀýÀ» ¼ö¼ú ¾øÀÌ Ä¡·á¹Þ¾Ò½À´Ï´Ù"
[11.30]
¡°Ãµ½Ä.¾ËÄÚ¿Ã Áßµ¶.Á¶Çöº´.¿ì¿ïÁõ.°ø
[11.30]
"´ç´¢¹ß Àý´Ü À§±â¿¡¼ Ä¡·á¹Þ¾Æ »õ»ì
[11.02]
°©ÀÛ½º·± ´ç´¢ Áø´Ü, 3°³¿ù ¸¸¿¡ Ä¡
[11.02]
27³â µÈ ³Ä¡º´ º£Ã¼Æ®º´À» Ä¡·á¹Þ¾Ò
[11.02]
²÷¾îÁø ¾î±úÀδ븦 ¿ÏÄ¡¹Þ°í, ÇöÀåÀÏÀ»
°¡Àå ¸¹ÀÌ º» ±â»ç
"Çϴÿ¡´Â ¿µ±¤, ¶¥¿¡´Â ±â»Ý°ú ÆòÈ
"Çϳª´Ô²²¼ ±â»µÇϽô ÀÇÀÎÀÇ ¹ÏÀ½À¸
[±âȹƯÁý] ±â»Ý°ú ÇູÀÌ °¡µæÇß´ø
ÄÉ³Ä ³ªÀ̷κñ¸¸¹Î±³È¸ ⸳ 23ÁÖ³â
2023 ¼ºÅº Á¡µî½Ä "¿ì¸®¸¦ À§ÇØ
Ãßõ °Ë»ö¾î
¸¸¹ÎÁß¾Ó±³È¸ ¹Ì¿ëÀμ±±³È¸, ¾î¸£½Å ´ë
¸¸¹ÎÁß¾Ó±³È¸, 'µ¿ÀÛ ±âºÎ ¸±·¹ÀÌ'
¸¸¹ÎÁß¾Ó±³È¸ À̼öÁø ¸ñ»ç, ±Ý¿äö¾ß¿¹
"¼Õ¸ñ»À °ñÀýÀ» ¼ö¼ú ¾øÀÌ Ä¡·á¹Þ¾Ò½À
¸¸¹ÎÁß¾Ó±³È¸ 'ÄÉ³Ä ³ªÀ̷κñ ¸¸¹Î±³È¸