Сестра Мария Ким (3-я миссия колледжей)
Я член группы прославления «Радуга» Комитета исполнительских искусств Центральной церкви «Манмин».
Начиная с января, наша группа берет уроки пения. Мы начали с простейшей дыхательной гимнастики, которая способствует увеличению объема легких. Она сопровождалась несколькими физическими упражнениями.
Прошлым мартом мне было так тяжело, как никогда. Если мне нужно было опустить плечи и, подтягивая их к груди, расправить, то я ощущала сильную боль в позвоночнике. И я чувствовала, как будто мои кости гнутся и от этого усиливается боль.
«Сестра Мария, выпрямись». - «Что? Я же и так выпрямилась».
Услышав это, я посмотрела на себя в зеркало. Мои плечи были на абсолютно разной высоте. Обычно, когда мне приходилось нести что-то тяжелое, я чувствовала сильную боль в спине. И я поняла, что для этих симптомов были основания.
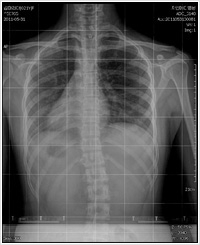
Результат рентгенологического обследования показал, что у меня угол наклона позвоночника был на 15 градусов больше, чем у нормальных людей, изгиб позвоночника которых составляет менее 4 градусов. Это означало, что у меня был сколиоз. После длительных размышлений, я приняла ортотерапию для исправления осанки. Однако тесты, проведенные 31 мая, показали, что лечение мне не помогло.
Я услышала, что в июне состоится специальное служение Божественного исцеления. И я была так счастлива! Я уповала на Бога, постилась по утрам, посещала молитвенные собрания Даниила и специальные молитвенные служения. Я покаялась в том, что стала уделять меньше внимания молитве, сетуя на свою занятость в школе и на работе. Я также каялась в молитве, вспоминая о том, что с трудом выносила советы и обличения других.
17 июня огонь Святого Духа сошел на меня в то время, когда д-р Ли молился за больных с алтаря. Мое тело стало горячим, и чувство счастья наполнило меня. После молитвы д-р Ли и все прихожане пели: «Иисус, Иисус…». Я тоже прославляла Господа, стоя на высоких каблуках, но у меня не было никакой боли в спине. И я убедилась в том, что исцелилась.
Я должна была обследовать свой позвоночник еще раз. Мой доктор поразился, сравнив результаты тестирования до молитвы и после: «Ствол вашего позвоночника был искривлен на 15 градусов, а теперь он практически нормальный». Я благодарна Богу Отцу, Который исцелил меня. Аллилуйя!

1. До молитвы (31 мая 2011г.) 2. После молитвы (24 июня 2011г.)
Медицинская терминология
Сколиоз - это искривление позвоночника более чем на 10 градусов без видимой причины. Женщины страдают от этой болезни в полтора раза чаще мужчин. В основном, этой болезнью заболевают в подростковом возрасте.
|